
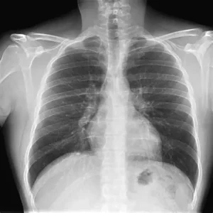
Realização e Interpretação de RX de Torax
1. Realização do Exame Objetivo:Avaliar os pulmões, coração, vasos sanguíneos, ossos torácicos e diafragma. Técnica mais comum: Projeção PA (posteroanterior): paciente de frente para o aparelho, com escápulas afastadas. Projeção lateral: complemento da PA, para avaliação mais detalhada. Preparo: Remover objetos metálicos do tórax e pescoço Em geral,
