Últimos Postagens
Médicos

31
Jul, 2025
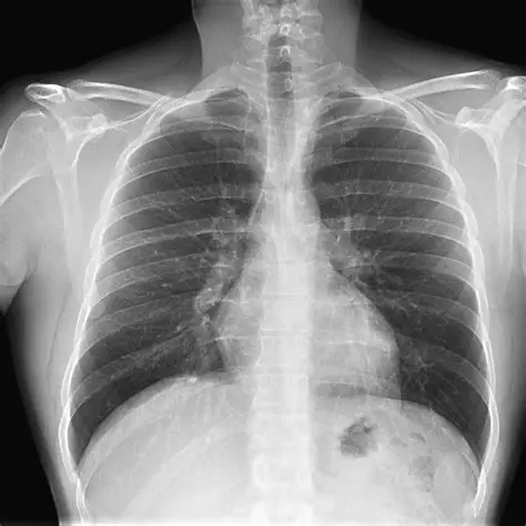
1. Realização do Exame
Objetivo:
Avaliar os pulmões, coração, vasos sanguíneos, ossos torácicos e diafragma.
Técnica mais comum:
Projeção PA (posteroanterior): paciente de frente para o aparelho, com escápulas afastadas.
Projeção lateral: complemento da PA, para avaliação mais detalhada.
Preparo:
Remover objetos metálicos do tórax e pescoço
Em geral, não precisa jejum
Mulheres: verificar gravidez antes do exame
Durante o exame:
O paciente deve inspirar profundamente e manter a respiração para melhor visualização pulmonar
2. Interpretação – Passo a Passo
A leitura do RX de tórax deve ser sistemática, seguindo estruturas anatômicas. Aqui está um modelo prático:
A – Avaliação geral
Técnica adequada (posição, penetração, inspiração)
Simetria da imagem
Presença de artefatos
B – Pulmões e brônquios
Transparência normal (sem opacidades)
Presença de infiltrados, nódulos, cavidades ou consolidações
Linhas pleurais (espessamento, derrames)
C – Coração e mediastino
Avaliar o índice cardiotorácico (diâmetro cardíaco ≤ 50% do tórax)
Contornos cardíacos regulares
Alargamento do mediastino pode indicar aneurisma, linfadenopatia, etc.
D – Vasos sanguíneos
Hilo pulmonar e vasos pulmonares visíveis
Congestão vascular (pode indicar insuficiência cardíaca)
E – Estruturas ósseas
Costelas, clavículas, vértebras
Fraturas, lesões líticas, desalinhamentos
F – Diafragma e espaço pleural
Cúpulas diafragmáticas simétricas
Presença de ar (pneumotórax) ou líquido (derrame pleural)
Sinais de hérnia diafragmática ou elevação
EtiquetasImagiologia

